La variole du singe a été classée en urgence de santé publique de portée internationale par le Directeur général de l’Organisation mondiale de la Santé (OMS) ce samedi.
« Selon l’évaluation de l’ OMS , le risque de variole du singe est modéré à l’échelle mondiale et dans toutes les régions, à l’exception de la région européenne, où nous estimons le risque élevé », a expliqué le chef de l’agence lors d’une conférence de presse virtuelle.
Le Dr Tedros a tranché à l’issue d’une seconde réunion du Comité d’urgence du Règlement sanitaire international (RSI), à l’issue de laquelle les membres ne sont pas parvenus à un consensus.
« Il existe également un risque évident de propagation internationale, bien que le risque d’interférence avec le trafic international reste faible pour le moment. En résumé, nous sommes en présence d’une épidémie qui s’est propagée rapidement dans le monde entier, par de nouveaux modes de transmission, dont nous ne savons pas grand-chose, et qui répond aux critères du Règlement sanitaire international », a précisé le chef de l’OMS au sujet des raisons ayant motivé sa décision.
« La stigmatisation et la discrimination peuvent être aussi dangereuses que n’importe quel virus »
« Bien que je déclare une urgence de santé publique de portée internationale, il s’agit pour l’instant d’une épidémie qui se concentre chez les hommes ayant des rapports sexuels avec des hommes, en particulier ceux ayant des partenaires sexuels multiples » a ajouté le Dr Tedros, pour qui l’épidémie peut donc être stoppée avec une stratégies ciblant les populations à risque. « Il est donc essentiel que tous les pays travaillent en étroite collaboration avec les communautés d’hommes ayant des rapports sexuels avec des hommes, pour concevoir et fournir des informations et des services efficaces, et pour adopter des mesures qui protègent la santé, les droits de l’homme et la dignité des communautés touchées » .
« La stigmatisation et la discrimination peuvent être aussi dangereuses que n’importe quel virus », a-t-il insisté, en appelant les organisations de la société civile, notamment celles travaillant avec des personnes vivant avec le VIH, à collaborer pour lutter contre la stigmatisation et la discrimination.
Des recommandations de l’OMS à quatre groupes de pays
Le chef de l’OMS a formulé une série de recommandations à l’intention de quatre groupes de pays :
- Ceux n’ayant pas encore signalé de cas de variole du singe ou n’ayant pas signalé de cas depuis plus de 21 jours ;
- Ceux ayant récemment importé des cas de variole du singe et qui connaissent une transmission interhumaine.
« Cela comprend des recommandations pour mettre en œuvre une réponse coordonnée afin de stopper la transmission et de protéger les groupes vulnérables ; de faire participer et de protéger les communautés touchées ; d’intensifier la surveillance et les mesures de santé publique ; de renforcer la gestion clinique et la prévention et le contrôle des infections dans les hôpitaux et les cliniques ; d’accélérer la recherche sur l’utilisation de vaccins, de thérapies et d’autres outils ; et des recommandations sur les voyages internationaux », a précisé le Dr. Tedros.
- Le troisième groupe de pays concerne ceux où la variole du singe se transmet entre les animaux et les humains ;
- Les pays ayant une capacité de production de diagnostics, de vaccins et de produits thérapeutiques appartiennent au quatrième groupe.
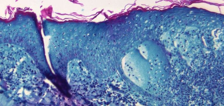
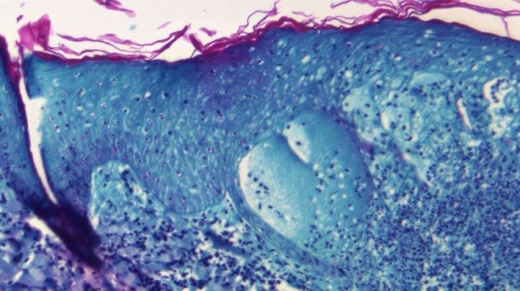
La flambée de cas continue avec 16.000 cas signalés et 5 décès
L’objet de la conférence de ce samedi était de faire le point sur le rapport de la seconde réunion du Comité d’urgence concernant la flambée épidémique de variole du singe dans plusieurs pays.
Il y a un mois, le Dr Tedros avait convoqué une première fois le Comité d’urgence du RSI pour évaluer si l’épidémie de variole du singe, survenue dans plusieurs pays, constituait une urgence de santé publique de portée internationale. Lors de cette première réunion, bien que des opinions divergentes aient été exprimées, le comité avait coinclu par la négative.
À l’époque, 3040 cas de variole du singe avaient été signalés à l’OMS, dans 47 pays.
« Depuis lors, la flambée a continué, et l’on dénombre aujourd’hui plus de 16 000 cas signalés dans 75 pays et territoires, et cinq décès », a déclaré le Dr Tedros.
****************************************************************************************************************************************************************************************************************************************************************Les cinq critères du RSI
En vertu du Règlement sanitaire international, la direction de l’OMS doit prendre en compte cinq facteurs pour décider si une épidémie constitue une urgence de santé publique de portée internationale :
- Les informations fournies par les pays - qui, dans le cas présent, montrent que ce virus s’est propagé rapidement dans de nombreux pays qui ne l’avaient jamais vu auparavant ;
- Les trois critères permettant de déclarer une urgence de santé publique de portée internationale en vertu du Règlement sanitaire international ont été remplis ;
- L’avis du Comité d’urgence ;
- Les principes scientifiques, les preuves et autres informations pertinentes - qui sont actuellement insuffisants et nous laissent avec de nombreuses inconnues ;
- Le risque pour la santé humaine, la propagation à l’échelle mondiale et le risque d’interférence avec le trafic international.



